
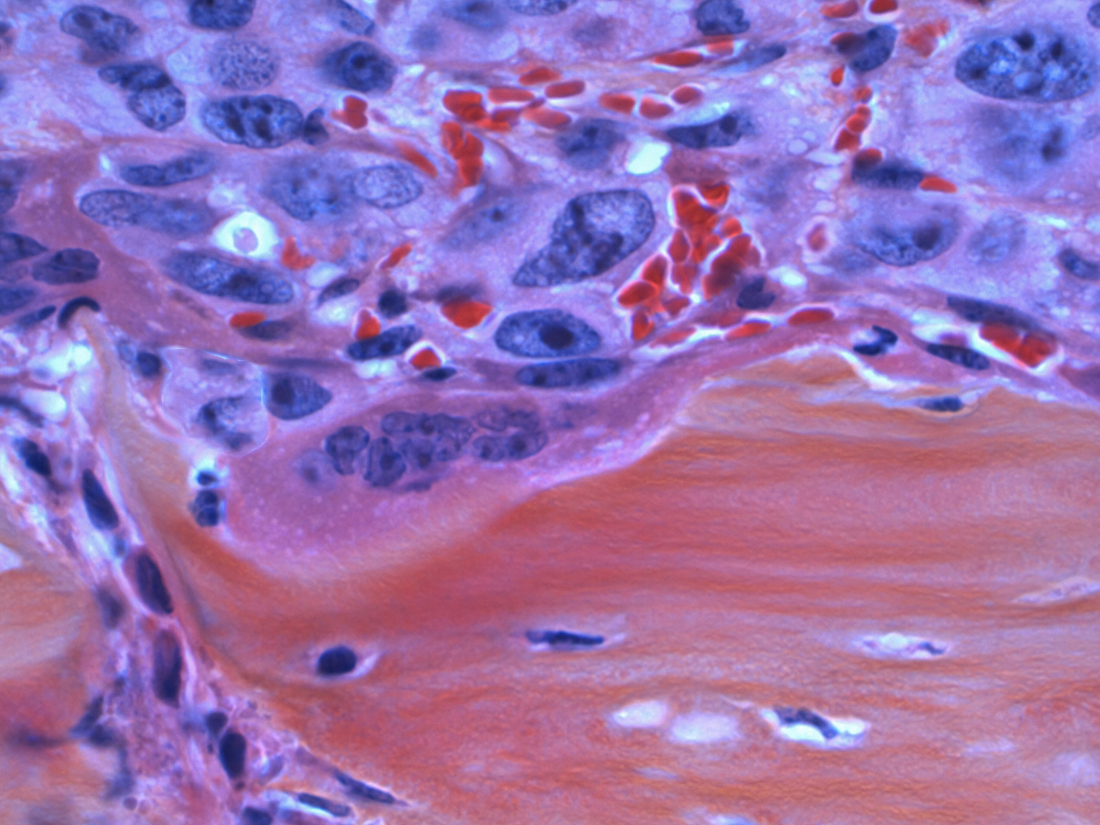
Главный онколог России рассказал о росте эффективности диагностики рака на ранних этапах
ferra.ru2024-11-10 23:12

Главный онколог России рассказал о росте эффективности диагностики рака на ранних этапах
ferra.ru
Специалисты Центрального научно-исследовательского института «Прометей» провели испытания нового композитного материала «алмаз — карбид кремния». Разработка может применяться в узлах трения авиационной и морской техники. ferra.ru »
2025-10-29 23:19
Волоконные лазеры применяются в резке и сварке металла, медицине и высокоскоростной передаче данных. Российские учёные рассчитали минимально возможную длительность импульса для таких лазеров, что важно для практического использования. ferra.ru »
2025-10-24 16:00
Научно-исследовательское судно "Академик Борис Петров" изучит геологическое строение и сейсмическую активность Срединно-Атлантического хребта в северных водах Атлантического океана. Об этом сообщает ТАСС со ссылкой на Институт океанологии РАН им. П.П. Ширшова. ferra.ru »
2025-10-05 11:23
Российские исследователи из ФИАН и Российского квантового центра впервые реализовали обобщённый гейт Тоффоли на 10 кудитах — это крупнейшая подобная операция, зафиксированная в мировой научной практике. ferra.ru »
2025-09-27 23:10
Российские учёные провели эксперимент на мышах на борту спутника Бион-М. Целью было исследование эффективности лекарства для защиты от радиации в длительных космических полётах. Это сообщение предоставила Российская академия наук. ferra.ru »
2025-09-20 20:42
В пресс-службе Томского государственного университета (ТГУ) сообщили, что учёные вуза разработали композит, способный поглощать более 90% электромагнитного излучения в диапазоне от 4 до 12 гигагерц. При этом толщина материала не превышает трех миллиметров, что делает его удобным для использования в технике. ferra.ru »
2025-09-19 17:03
Исследования учёных Сеченовского университета показали, что тревожно-депрессивные расстройства существенно осложняют лечение гипертонии. У пациентов с сочетанием этих заболеваний в 2,5 раза повышается риск инсульта. ferra.ru »
2025-09-18 23:27
Учёные Ярославского государственного университета им. П. Г. Демидова разработали тест-систему, которая позволяет быстро и точно обнаруживать вредоносные бактерии рода Aeromonas. Эти микроорганизмы могут вызывать болезни у рыб и пищевые отравления у людей, а их выявление раньше было трудоемким и долгим процессом. ferra.ru »
2025-09-18 23:02
Специалисты Института цитологии РАН впервые выяснили, что именно вызывает потерю обоняния при разных заболеваниях. К ним относятся не только COVID-19 и другие респираторные инфекции, но и нейродегенеративные болезни, например болезнь Альцгеймера и болезнь Паркинсона. ferra.ru »
2025-09-18 22:04
Российские ученые установили новый мировой рекорд в области квантовых вычислений, реализовав крупнейший в мире квантовый алгоритм на 10 ионах. Эта разработка использует обобщенный гейт Тоффоли на кудитах и открывает перспективы для более точного решения практических задач с помощью квантовых компьютеров. ferra.ru »
2025-09-18 22:02
Группа учёных из Москвы, Санкт-Петербурга, Екатеринбурга и Челябинска предложил новый метод маркировки ДНК с использованием флуоресцентных зондов на основе пиридоиндолов. Разработка ведётся при поддержке Российского научного фонда. ferra.ru »
2025-09-18 17:09
В пресс-службе Минобрнауки РФ сообщили, что учёные Томского политехнического университета (ТПУ) разработали новый катализатор для переработки углекислого газа и метана в синтез-газ — ценное сырьё для химической промышленности. ferra.ru »
2025-09-18 15:09
Учёные Сургутского государственного университета (СурГУ) выявили факторы, позволяющие снизить риск развития рака молочной железы после процедуры ЭКО. ferra.ru »
2025-09-15 21:35
Учёные из ФИЦ ПХФ и МХ РАН совместно с Центром водородной энергетики АФК «Система» разработали новый материал для хранения водорода, который может изменить подход к созданию компактных и эффективных энергетических систем, сообщается в Telegram-канале РАН. ferra.ru »
2025-09-12 18:20
В пресс-службе Минобрнауки РФ сообщили, что учёные Казанского федерального университета совместно с иностранными коллегами обнаружили механизм, ускоряющий образование газогидратов с помощью поверхностно-активных веществ (ПАВ). ferra.ru »
2025-08-28 23:59
В пресс-служба Российского научного фонда (РНФ) сообщили, что российские учёные разработали новое устройство для очистки и опреснения воды с использованием солнечной энергии. Основой для разработки послужили графен и нетканый хлопковый материал, что делает технологию доступной и эффективной. ferra.ru »
2025-08-28 23:32
Исследователи Института химической биологии и фундаментальной медицины СО РАН разработали магнитные наночастицы, которые помогут одновременно обнаруживать и лечить опухоли. Частицы работают как контраст для МРТ и могут доставлять противораковые препараты прямо к поражённой ткани, уменьшая токсичность лечения. ferra.ru »
2025-08-28 21:50
Научный сотрудник «Сколтеха» Ольга Синдеева во время пресс-конференции в Москве сообщила, что российские учёные разработали уникальный полимерный материал, предназначенный для покрытия медицинских имплантов. ferra.ru »
2025-08-27 19:11
В отделе научных коммуникаций Уральского федерального университета (УрФУ) создали новые производные такрина — препарата, ранее применявшегося для лечения болезни Альцгеймера, но запрещённого из-за высокой токсичности для печени. ferra.ru »
2025-08-27 18:11
Ученые Сибирского федерального университета (СФУ) вместе с коллегами из Китая разработали новый материал для детекторов рентгеновского излучения. Он отличается высокой гибкостью, эффективностью и экологичностью. Результаты работы опубликованы в издании Advanced Materials. ferra.ru »
2025-08-25 17:01
Учёные Университета МИСИС разработали инновационный перевязочный материал для помощи при тяжёлых ранениях. Нанотехнологическая повязка содержит частицы меди и антибиотики, что позволяет значительно снизить кровопотерю и предотвратить инфицирование. ferra.ru »
2025-08-25 16:01
Специалисты Северного Арктического федерального университета (САФУ) в Архангельске разработали способ превращения гидролизного лигнина в эффективное топливо. Этот материал, который раньше просто складировали как отходы целлюлозного производства, теперь может использоваться в металлургической промышленности. ferra.ru »
2025-08-18 15:23
Российские учёные предложили использовать методы сейсмической томографии для развития геотермальной энергетики на Аляске. Особый интерес представляет вулкан Окмок, где магматический очаг расположен на глубине менее 1 км. ferra.ru »
2025-08-14 18:51
Ученые из ИТМО, Тель-Авивского университета и Университета Авейру разработали способ улучшения паутины пауков, чтобы использовать её в робототехнике и гибкой электронике. Для этого в шелковые железы пауков вводили раствор с магнитными наночастицами. ferra.ru »
2025-08-14 17:35
В пресс-службе Новосибирского государственного университета (НГУ) сообщили, что учёные вуза установили, что регулярная медитация способствует формированию новых связей между речевыми и моторными функциями мозга. ferra.ru »
2025-08-13 22:44
Специалисты из Сбера, МФТИ, Института системного программирования РАН и Сколтеха разработала методику, ускоряющую обучение распределённых систем искусственного интеллекта (ИИ). Разработка позволяет значительно снизить нагрузку на вычислительные сети и уменьшить энергопотребление. ferra.ru »
2025-08-12 21:35
Учёные из Санкт-Петербургского государственного университета провели детальное исследование металлоорганического комплекса никеля Ni (Salen) и его трансформации в полимер, обладающий электропроводностью. ferra.ru »
2025-08-12 20:15
Специалисты Института нефтегазовой геологии СО РАН разрабатывают трёхмерную модель вулкана Павлова — одного из самых активных на Аляске. Работа ведётся на основе данных американских коллег с использованием методов сейсмической томографии. ferra.ru »
2025-08-12 19:49
Российские специалисты разработали инновационное биомиметическое покрытие для зубов, способное имитировать естественную эмаль и предотвращать развитие кариеса. Залим Кудаев, основатель федеральной сети клиник «Зубы за один день», рассказал, что этот материал основан на наногидроксиапатите и хинолиновых соединениях и направлен на укрепление и защиту зубной поверхности. ferra.ru »
2025-08-11 12:09
Специалисты из Института общей и неорганической химии имени Н. С. Курнакова РАН создали гибридный материал для протонообменных мембран, которые являются ключевым элементом водородных топливных элементов. ferra.ru »
2025-08-08 17:01
Специалисты МФТИ и ИРЭ РАН разработали компактный высокочувствительный детектор магнитного излучения. Устройство толщиной чуть более 100 нанометров способно регистрировать слабые магнитные поля, которые генерируют мозг и сердце человека. ferra.ru »
2025-08-07 23:05
В пресс-службе НИТУ МИСИС сообщили, что ученые вуза совместно с Центром судебной экспертизы разработали новый способ обнаружения токсичных соединений хлора в сточных водах нефтегазовых предприятий. Методика позволяет с точностью до 95% определять три формы хлора за один анализ. ferra.ru »
2025-08-07 20:39
В пресс-службе Сеченовского университета сообщили, что учёные обнаружили, что белок теплового шока HSP70 может снижать темпы гибели нейронов при нейродегенеративных заболеваниях. Результаты основаны на доклинических экспериментах с животными, модель которых имитировала боковой амиотрофический склероз. ferra.ru »
2025-08-07 16:49
В пресс-службе Минобрнауки РФ сообщили, что учёные Белгородского государственного технологического университета разработали новый вид мелкозернистого бетона, который в два раза дольше сохраняет свои свойства в условиях повышенной температуры и влажности. ferra.ru »
2025-08-07 14:55
В Минобрнауки РФ сообщили, что учёные Томского политехнического университета создали математическую модель, которая с точностью свыше 90% прогнозирует размеры вторичных капель при распылении топлива. ferra.ru »
2025-08-07 13:49
Учёные из Сибирского федерального университета (СФУ) предложили метод для оценки пригодности белковых препаратов. Разработка основана на использовании специальной метки, способной обнаруживать изменения в структуре белка. ferra.ru »
2025-08-06 21:19
В пресс-службе Московского авиационного института (МАИ) сообщили, что специалисты создают инновационные наночастицы для адресной терапии онкологических заболеваний. Разработка направлена на уничтожение раковых клеток без повреждения здоровых тканей. ferra.ru »
2025-08-06 19:11
В Центре научной коммуникации МФТИ сообщили, что специалисты вуза разработали инновационную архитектуру квантовых процессоров, решающую ключевую проблему современных квантовых компьютеров — нежелательные взаимодействия между кубитами в режиме ожидания. ferra.ru »
2025-08-05 22:51
Группа российских специалистов разработала метод, позволяющий существенно сократить затраты на разметку данных, которые необходимы для обучения систем искусственного интеллекта (ИИ), использующих большие языковые модели. ferra.ru »
2025-08-05 19:29
Специалисты из МФТИ и институтов РАН разработали методику обнаружения потенциально опасных участков земной коры даже там, где ранее не фиксировалась сейсмическая активность. Исследование поможет точнее оценивать риски при строительстве и совершенствовать системы предупреждения о землетрясениях. ferra.ru »
2025-07-30 22:12
Специалисты Московского государственного психолого-педагогического университета, Московского государственного университета им. М. В. Ломоносова и Высшей школы экономики впервые изучили нейронные процессы, позволяющие человеку сознательно задерживать взгляд. ferra.ru »
2025-07-30 14:52
В Нижнем Новгороде специалисты и студенты Высшей школы экономики создали алгоритм, способный выявлять ложь в речи с точностью до 92%. Новый подход основан на одновременном анализе сразу 32 признаков — от речевых особенностей до мимики и движений. ferra.ru »
2025-07-29 22:55
В пресс-службе Университета ИТМО сообщили, что специалисты вуза разработали уникальную наноструктуру, которая делает кремний в 10 тысяч раз эффективнее в поглощении и излучении света. Это самый компактный фотолюминесцентный источник на основе кремния из существующих. ferra.ru »
2025-07-29 18:32
Физики из Томского политехнического университета совместно с коллегами из Объединённого института ядерных исследований разработали квантово-механическую модель, описывающую процесс деления атомного ядра. ferra.ru »
2025-07-29 13:09
Математики из Высшей школы экономики (НИУ ВШЭ) создали нейросетевую архитектуру, которая позволяет искусственному интеллекту (ИИ) эффективнее распознавать симметрию в данных. Разработка может упростить обработку информации в физике, биологии и инженерии. ferra.ru »
2025-07-25 13:39
В Центре научной коммуникации МФТИ сообщили, что российские физики разработали простой и экономичный метод создания специального стекла для детекторов нейтронов. В отличие от традиционных технологий, требующих дорогостоящего оборудования, новый подход позволяет использовать доступные компоненты, включая церий из обычных кремней для зажигалок. ferra.ru »
2025-07-25 10:16
В Саратове учёные разработали материал, который может значительно повысить чувствительность сенсоров к вредным газам. Специалисты Саратовского государственного университета имени Н. Г. Чернышевского объединили аминированный графен с наночастицами оксида цинка, что позволило добиться более точного отклика на присутствие газов в воздухе. ferra.ru »
2025-07-24 20:03
Российские исследователи разработали новый метод обнаружения токсинов в донных отложениях арктических морей. Учёные из МФТИ преобразовали обычные кишечную и сенную палочки в живые биосенсоры, которые начинают светиться при контакте с опасными веществами. ferra.ru »
2025-07-24 16:16
В пресс-службе Пермского национального исследовательского политехнического университета (ПНИПУ) сообщили, что специалисты вуза разработали модель прогнозирования курса биткойна, которая анализирует не только финансовые показатели, но и психологическое состояние рынка. ferra.ru »
2025-07-24 14:15
В пресс-служба «Сколтеха» сообщили, что физики из России обнаружили в панцирях одноклеточных водорослей особые наноструктуры, способные фокусировать свет внутри клетки. Это открытие может лечь в основу новых технологий для повышения эффективности солнечных батарей, оптических сенсоров и защитных покрытий. ferra.ru »
2025-07-23 16:12